Jak wygląda echo serca zwierzaka

Badanie echo serca wykonywane jest na pacjencie leżącym w pozycji bocznej lub stojącym.

Trwa od kilku do kilkunastu minut, czas ten w dużej mierze zależy od ruchliwości zwierzęcia. Przy mocno podekscytowanych i niespokojnych zwierzętach warto, jeśli to możliwe, przeprowadzić badanie w obecności dwóch opiekunów.

Po zakończeniu badania usg opiekun otrzymuje jego opis wraz ze zdjęciami i zaleceniami co do ewentualnego leczenia.


Lekarz weterynarii Aleksandra Firek

Aleksandra Firek, weterynarz kardiolog, Kraków
W naszej pracowni PROTON konsultacje przeprowadza lekarz weterynarii Aleksandra Firek. Specjalizuje się w dziedzinie kardiologii zwierząt.

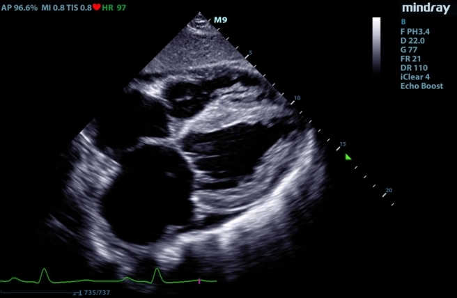
Sprzęt

sprzęt Mindray9 używany przez weterynarza kardiologa, Kraków
W badaniach kardiologicznych wykorzystujemy przenośny ultrasonograf klasy PREMIUM – Mindray M-9. Specjalistyczne oprogramowanie i aparat usg zapewniają bardzo dobre obrazowanie, dzięki czemu badanie echo serca jest dokładne i bardzo dobrej jakości.
Umów wizytę